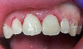
bimbang. Tanpa sebarang sebab, gusi membengkak dan berdarah. Ini wajar diberi perhatian kerana dikhuatiri gejala seperti mulut berbau, gusi mudah terluka dan semestinya tidak selesa ketika memberus gigi.
Kenapa gusi berdarah?
- Pengenapan lembut mengandungi bakteria yang melekat di bahagian gigi berhampiran gusi adalah punca masalah ini.
- Jika dibiarkan, plak yang berubah warna menjadi kuning dan kelabu ini menjadi lebih tebal dan akan mengeras membentuk karang gigi (kalkulus) jika tak disingkir.
- Plak bakteria ini kemudiannya mengeluarkan bahan-bahan asid toksin yang boleh menyebabkan gusi menjadi merah serta membengkak.
- Pada peringkat ini, ia dipanggil radang gusi. Bagaimanapun, jika tidak dikawal ia akan menjadi periodontitis.
- Plak bakteria serta kalkulus akan terus membentuk sehingga ke dalam gusi dan memusnahkan fiber periodontium serta tulang alveolus yang menyokong gigi.
- Kesannya, gusi menjadi renggang dari gigi lalu meninggalkan satu ruang dipanggil pokok periodontium.
(sumber : http://www.utusan.com.my)
Cara atasi gusi berdarah
- Memberus gigi dengan betul - Berus gigi sekurang-kurangnya 2 kali sehari dengan berus gigi jenis medium atau yang berbulu lembut. Jika mengikut pengalaman sayalah, pakar orthodontik saya menyarankan memakai berus gigi jenis lembut. Ini sesuai terutamanya mereka yang mempunyai gigi bermasalah, lembut dan mudah luka.
- Bagi mereka yang memakai pendakap gigi, pasti pakar orthodontik anda menyarankan memakai berus gigi yang berbulu halus, untuk memudahkan membersihkan sisa makanan yang melekat di besi pendakap gigi itu.
- Salah pilih berus gigi juga penyumbang kepada masalah gusi berdarah. Guna ubat gigi yang berflourida dan pastikan keseluruhan bahagian gigi dan lidah diberus. Plak pada lidah boleh menyebabkan nafas berbau dan merupakan persekitaran yang ideal untuk bakteria. Jika anda tidak boleh berus, kunyahlah chewing gum yang bebas gula yang mempunyai Xylitol.
- Antara pilihan bagi memastikan gigi betul-betul bersih, gunalah teknik 30 saat memberus secara bulatan pada setiap sisi gigi iaitu gigi bahagian atas kanan, kiri dan tengah serta gigi bahagian bawah kanan, kiri dan tengah.
- Gunakan ubat kumur antiseptik seperti Listerine dan Colgate Plax untuk mencegah pembiakan bakteria pada gusi. Jangan sesekali menganggap dengan hanya menggunakan ubat kumur antiseptik, gigi sudah bersih!
- Berjumpalah doktor gigi sekurang-kurangnya 6 bulan sekali untuk memantau masalah gusi anda.
- Flos gigi - bagus untuk membuang sisa-sisa makanan, plak dan menghalang kaviti daripada terbentuk di antara gigi. Flos elok digunakan terutamanya setelah makan makanan seperti daging, ayam, sayur dan makanan lain yang mudah terselit di celah-celah yang sukar dibersihkan menggunakan berus gigi.
- Pemakanan seimbang/ Pengambilan suplemen - kekurangan Vitamin C, K, B-complex dan Kalsium boleh membawa kepada radang dan pendarahan gusi. Ambillah multivitamin yang mengandungi mineral di atas. Minuman berkalsium tinggi seperti susu dan makanan berkalsium tinggi seperti keju amat sesuai diamalkan pada kadar sederhana dan mencukpi diet keperluan harian.

Gigi adalah cermin diri kita
- Jika sakit gigi masih tidak berkurangan, amalkan pemakanan yang kurang gula, coklat, ais krim dan makanan manis yang lain. Minuman bergas dan berkarbonat juga wajar dijauhi kerana jika selalu diamalkan, pasti mudah mendapat gusi berdarah, gusi bengkak, karang gigi dan plak gigi. Tentulah apabila kita berbual dengan orang lain, perkara yang dititik-beratkan adalah kesihatan gigi kita.
- Akhir kata, gigi yang cantik mencerminkan imej kita. Ia merupakan lambang tahap kebersihan diri yang kita amalkan. Tentu sukar jika berkomunikasi dengan orang apabila gigi tidak berada pada tahap kebersihan yang terbaik.
Hubungi saya, Nur Nabihah Yunus untuk sebarang konsultansi berkaitan produk Shaklee. Sms 012-3620750
Bagi yang berminat untuk menjana pendapatan bersama Shaklee, hubungi saya segera!

0 comments:
Post a Comment